-
12 秒快拍
9 秒快拍模式、正常模式 12 秒。透過特有的 X 光影像處理系統,實現高清晰影像。
-
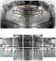
Tomosynthesis
SolioXZ 的 2D 攝影並非完全平面, 它帶有 30 mm的厚度, 而每 1 mm的間隔有 31 張切片。
*注意兒童和正面攝影會有些許不同。拍攝完成後系統會自動顯示前牙最清晰的影像,這個功能可以有效的排除因定位不佳而產生的前牙區模糊影像。 當然, 使用者也可自行挑選前後左右部位最滿意的切片組合成一張完整的全口影像。
*注意儲存之後無法修改。
-
切片組合
全口影像顯示完成後,使用者可以自行設定裁剪區域,重新組合全口影像。可以依照根尖攝影的 10 張或 14 張的排列方式化分區域,然後在各個區域挑選最滿意的切片。
-
高畫質的影像
ASAHI X-ray 的原始影像處理技術可以執行頻率處理和雜訊消除,以實現高清晰影像。抑制顳下頜關節和臼齒的柤糙度,使其更容易診斷齲齒和炎症等病例。





