
Solio XZ 全口.電腦斷層X-光攝影裝置

Solio XZ 全口
電腦斷層X-光攝影裝置
小機身、大突破
I Mode: FOV 90x91mm(H) 、 D Mode: FOV 51X55mm(H)
解決散射困擾 影像精準寫實
突破空間限制 1500X1500mm 遊刃有餘

高畫質的快拍功能
全口攝影及 360 度的 CBCT 攝影皆可於 12 秒完成。
除了高清的快拍功能還搭載多種影像處理功能如 CT 影像重建和斷層合成。
-
12 秒快拍
實現 ASAHI 史上最短的高畫質攝影時間!12 秒完成 360 度的全方位掃瞄、6 秒完成 180 度的 CT 攝影。
-
全方位掃瞄,精準寫實
為了除去金屬物體造成的散射偽體,特地導入 360 度旋轉拍攝模式。拍攝角度越大,人工製品對影像的影響就越小,影像的分辨度就越高越精確。
注意:因患者入攝的角度關係,有時僅能達到 270 度的攝影角度。
-
CT影像成像後依然能透過簡單操作執行各種影像的重建
NEODYNA MAR 去散射模組 (*選配):獨特的 MAR 演算法可有效去除金屬植入物的偽影干擾,結合 360 度攝影,可取得精準度較高的影像。
NEOSMART 智慧影像編輯模組:大幅升級影像清晰度、強化運算能力提升操作的流暢度。校正散射光線:穩定硬組織的亮度質,補正光束硬化:弱化金屬植入物造成的偽影。
-
部份重建功能
已完成拍攝的影像可以在 41X50mm (H) 的範圍內將 Voxe 更改為最低的 0.075 mm。無需重新拍攝即可在目標範圍取得更高辨視率的影像。I-Mode 模式則可設置在 51 X 54 mm (H) 的範圍內變更 Voxel 為0.1 mm。
-
12 秒快拍
9 秒快拍模式、正常模式 12 秒。透過特有的 X 光影像處理系統,實現高清晰影像。
-
Tomosynthesis
SolioXZ 的 2D 攝影並非完全平面, 它帶有 30 mm的厚度, 而每 1 mm的間隔有 31 張切片。
*注意兒童和正面攝影會有些許不同。拍攝完成後系統會自動顯示前牙最清晰的影像,這個功能可以有效的排除因定位不佳而產生的前牙區模糊影像。 當然, 使用者也可自行挑選前後左右部位最滿意的切片組合成一張完整的全口影像。
*注意儲存之後無法修改。
-
切片組合
全口影像顯示完成後,使用者可以自行設定裁剪區域,重新組合全口影像。可以依照根尖攝影的 10 張或 14 張的排列方式化分區域,然後在各個區域挑選最滿意的切片。
-
高畫質的影像
ASAHI X-ray 的原始影像處理技術可以執行頻率處理和雜訊消除,以實現高清晰影像。抑制顳下頜關節和臼齒的柤糙度,使其更容易診斷齲齒和炎症等病例。
-
自動設定拍攝區域
在患者就定位前,透過電腦選定攝影區域,管球會自動在高點處轉到定位點,然後在患者就位後再把管球降下來即可。
-
預拍功能
正式拍攝前先使用預拍功能檢查設定的攝影位置是否正確。確定無誤後再行拍攝以避免產生錯誤讓患者接收無謂的輻射劑量。
-
定位系統
患者定位後仍然可以透過觸摸來微調管球位置。100 mm的拍攝範圍內可以在不移動患者的情況下,上下調整管球,大大簡化攝影定位的程序。
-
實現優良的全口影像
除了原有的頭部固定點外,多增加了兩個胸部固定點,使得患者的頸椎能較長時間維持在正確的位置上,大幅減少模糊的全口影像。同時我們還減少不同攝影模式的部件更換,簡化定位程序,使攝影工作更順暢。
影像

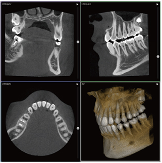
CT 影像 D-Mode
51 X 55 mm,Voxel size 0.1 mm
局部成像的高辬識度可以對牙齒和骨骼作詳細觀

CT 影像 I-Mode
91 X 90 mm (H),Voxel size 0.177 mm
整個牙列都可拍攝在內,包括第八顆的埋伏牙

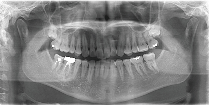
全口影像
12秒正常攝影

TMJ 攝影
3秒 (X4)
規格表
全口、電腦斷層X光攝影裝置
| 型號 | Solio XZ |
| 電源電壓 | AZ110V, 50/60Hz, 1 |
| 電源容量 | 1.0kVA |
| 高壓產生器 | 逆變器方法 |
| 管電壓 | 60-85kV (1kV/段) 每種模式不同 |
| 管電流 | 2-8mA (1mA/段) 每種模式不同 |
| 焦點 | 0.6mm |
| 濾當量 | 2.5mmAl (min) |
| 全口 | 攝影部位:成人·小兒 攝影時間:高速9秒、正常12秒 |
| TMJ | 攝影部位:側面 攝影時間:3X4 (秒) |
| CT:D-Mode | FOV:51X50 (H) mm 攝影部位: L8-R8, L-TMJ, R-TMJ Voxel:0.1mm 攝影時間:180度6秒;360度12秒 |
| CT:I-Mode | FOV:90X91(H) mm 攝影部位; 全齒列, L-TMJ, R-TMJ Voxel:0.177mm 攝影時間:180度6秒;360度12秒 |
| 定位方式 | 3道雷射光束 |
| 尺寸 (mm) | 992(W) X 1210(D) X 2280(H),支架可調節至30mm,用於牆固定。 |
| 重量 (kg) | 177 (標規) |
















